
Ouça este conteúdo
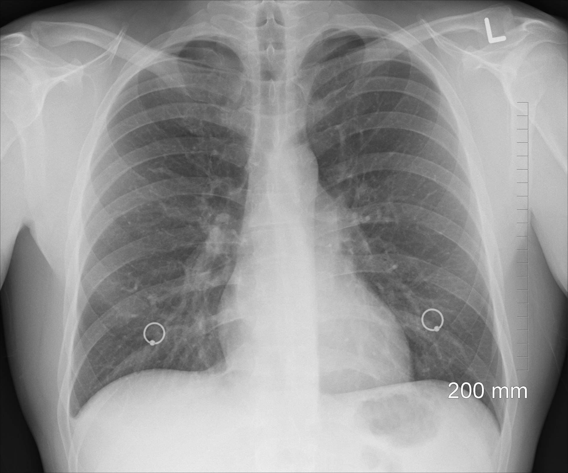
Uma equipe de cientistas da computação vinculada à Universidade Estadual de Maringá (UEM) conseguiu desenvolver um método para identificar casos de pneumonia causados pela Covid-19 a partir de imagens de raio-x. O estudo, feito a partir de uma base internacional de dados, teve um acerto de 90% dos casos, e a boa notícia é que utiliza um equipamento de custo baixo e disponível em praticamente toda a rede de saúde. Os pesquisadores pretendem agora ampliar a investigação, com parceria de profissionais da área médica.
RECEBA notícias do Paraná pelo WhatsApp
“Foi tudo muito rápido, se passaram 20 dias desde o início dos trabalhos”, conta Rodolfo Miranda Pereira, que é professor do Instituto Federal do Paraná (IFPR) no campus de Pinhais e integrante da equipe. Ele está concluindo o doutorado em Ciência da Computação na PUCPR, na área de classificação de dados em aprendizagem de máquina. “Tudo que fiz no doutorado tem uma aplicação prática, é um trabalho de extrair características, padrões, trabalhar com mineração de dados. Com a disseminação da Covid-19, imaginei que seria possível trabalhar com algo nessa linha”, explica.
A base de dados utilizada tem imagens de raio-x de pessoas sadias, de pessoas com pneumonia causadas por agentes variados e causada pelo novo coronavírus. Criando uma hierarquia de dados dos microorganismos relacionada às texturas observáveis no raio-x, a equipe conseguiu comprovar o diagnóstico em 90% dos casos. Apesar do raio-x não oferecer uma imagem tão detalhada quanto a de uma tomografia, por exemplo, o resultado é rápido e barato.
Quando os trabalhos começaram, conta Pereira, não havia literatura disponível. Agora, 20 dias depois, já há outros trabalhos realizados em cima da Covid-19, mas muitos ainda incompletos, divulgados dentro de um esforço global de realizar pesquisas para combater a gravidade da doença. A equipe formada por Pereira, Yandre Maldonado da Costa e Lucas de Oliveira Teixeira (UEM), Carlos Nascimento Silla Jr. (PUCPR); e Diego Bertolini Gonçalves (professor da UEM e da Universidade Tecnológica Federal do Paraná em Campo Mourão) aguarda o aceite de uma publicação de alto impacto para um artigo, o qual já está disponível na plataforma de divulgação de resultados científicos da Universidade de Cornell, nos Estados Unidos.
“Por enquanto, nosso trabalho é como a abertura de uma porta, que mostra um caminho a se seguir. Os primeiros resultados foram empolgantes. Queremos expandir a base de dados e conseguir aumentar a análise das imagens, agrupar mais gente, aprimorar a pesquisa”, completa Pereira.








