
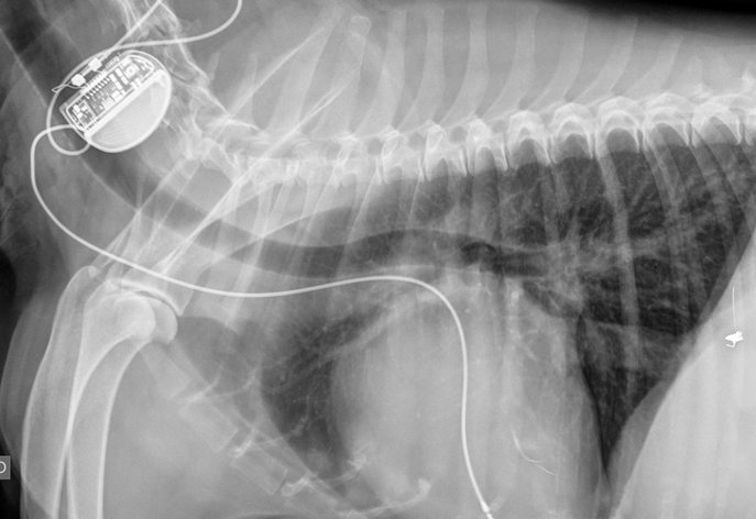
O Hospital Veterinário da Universidade Federal do Paraná (UFPR) realizou o primeiro implante no estado de marcapasso com eletrodo transvenoso em um cachorro na última quarta-feira (20). O procedimento, ainda incomum no Brasil, teve a coordenação dos professores Marlos Gonçalves Sousa e Peterson Triches Dornbusch e foi acompanhado por alunos do curso de Medicina Veterinária da UFPR, médicos residentes do Hospital Veterinário e mestrandos e doutorandos do programa da pós-graduação em Ciências Veterinárias.
A paciente foi uma cadela de 8 anos que apresentava bradiarritmia, frequência cardíaca bastante baixa. Devido à condição, o animal sofria constantes desmaios e tinha a qualidade de vida comprometida. Com a correção do problema por meio da cirurgia, a cadela poderá voltar a desempenhar atividades físicas sem risco de morte súbita.
Segundo Sousa, em nota divulgada pela assessoria da universidade, o marcapasso implantado regula a frequência cardíaca conforme a demanda metabólica do animal. “Ao correr ou se exercitar, o marcapasso aumentará a frequência cardíaca da paciente; durante o sono, ela será mantida em níveis melhores”, explicou. Sousa destacou que o procedimento foi um “divisor de águas” para a equipe do hospital.
Serviço
O Serviço de Cardiologia do Hospital Veterinário da UFPR atende de segunda a sexta-feira e realiza eletrocardiografia, ecocardiografia com Doppler tecidual e avaliação de pressão arterial. O hospital fica no Setor de Ciências Agrárias da Universidade. O endereço é Rua dos Funcionários, 1540, no Juvevê, em Curitiba.







